Virtual Appointment

We are pleased to offer virtual treatment to our patients. Take a series of 5 photographs using the guidelines below, and submit them to our office using the form on this page 48 hrs before your appointment. This will allow Dr. Lewandowski time to review your photos prior to your scheduled virtual appointment.

How it Works:

How to Photograph Your Smile

Photos should be taken in a seated position, in a room with good lighting. For best results, have someone else take the photos, as they can be difficult to take on your own.

Please contact our office if you have any questions about this form.

Virtual Treatment Form – advancedo

"*" indicates required fields

Step 1 – Show Us Your Smile

Accepted file types: jpg, jpeg, gif, png, pdf, heic, heif, Max. file size: 64 MB.

Bite down on your regular bite with back teeth touching. Pull back your right cheek as far as you can. Snap picture looking directly at the right side of your mouth.

Accepted file types: jpg, jpeg, gif, png, pdf, heic, heif, Max. file size: 64 MB.

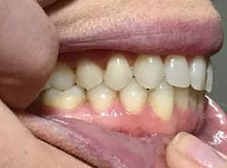
Bite down on your regular bite with back teeth touching and show us your biggest smile ever, showing as much of your teeth as possible. Snap picture looking straight at your smile.

Accepted file types: jpg, jpeg, gif, png, pdf, heic, heif, Max. file size: 64 MB.

Bite down on your regular bite with back teeth touching. Pull back your left cheek as far as you can. Snap picture looking directly at the left side of your mouth.

Accepted file types: jpg, jpeg, gif, png, pdf, heic, heif, Max. file size: 64 MB.

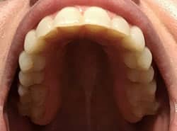
Tilt your head back and take a photo. Try to get your full arch. Face a window for the best lighting or use a flashlight to brighten the palate.

Accepted file types: jpg, jpeg, gif, png, pdf, heic, heif, Max. file size: 64 MB.

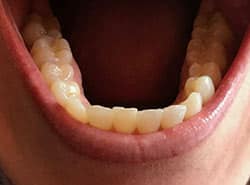
Tilt your chin down and take a photo. Try to get your full arch. Face a window for the best lighting or use a flashlight to brighten the tongue and back teeth.

Step 2 – Patient Information

Patient Name*
Preferred method of contact:*

Step 3 – Do you have any concerns about your treatment?

Please wait for a confirmation message to ensure your photos have been uploaded, it may take a minute depending on image size and internet connection.

All data is for candidate orthodontic evaluation purposes only and does not constitute or replace a professional dental visit or exam. To receive top quality, professional advice with no obligation, book your free consultation today and one of our team members will call you to confirm. Any comments, feedback, questions, concerns, information, suggestions, submissions, and/or ideas you submit through or related to the Site (a “Submission”) may not be considered confidential by Advanced Orthodontics. You expressly acknowledge that Advanced Orthodontics reserves the right to republish any Submission and share any Submission, internally or externally. By making a Submission, you agree to grant Advanced Orthodontics a worldwide, exclusive, royalty-free, perpetual irrevocable license to reproduce, modify, use, and/or sublicense or assign such Submission in any manner whether or not related to the Site or Services. You acknowledge and agree that you are responsible for the Submissions that you provide, and that you have full responsibility for the Submissions, including their content, legality and/or any intellectual property contained therein. By making a Submission, you agree you have the right to make said Submission and that it will be free of any claims from any third party. You further agree that you are solely responsible for any claims related to or arising out of such Submission and you agree that you will hold Advanced Orthodontics harmless relating to any such claim.