Common Orthodontic Problems or Malocclusion

Orthodontic concerns can affect anyone, in fact, most people don’t naturally develop perfectly aligned teeth. Issues such as malocclusion, often called a “bad bite,” can lead to difficulties with chewing, maintaining good oral hygiene, speaking clearly, and feeling confident about your smile.

A misaligned bite may be hereditary, but it can also develop due to habits like thumb sucking, dental health issues, poor oral hygiene, accidents, birth differences, or other medical conditions.

Understanding the orthodontic challenges you or your child may be experiencing is the first step toward correcting them. At Advanced Orthodontics, Dr. Lewandowski provides personalized orthodontic care designed to improve both the function of your bite and the overall appearance of your smile.

Below are examples of some of the most common orthodontic problems we treat.

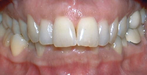
Protruding front teeth at Advanced Orthodontics in Everett, WA showing overjet condition

Upper Front Teeth Protrusion

The appearance and function of your teeth are impacted by this type of bite. It is characterized by the upper teeth extending too far forward or the lower teeth not extending far enough forward.

Overbite condition at Advanced Orthodontics in Everett, WA where upper teeth overlap lower teeth

Overbite

The upper front teeth extend out over the lower front teeth, sometimes causing the lower front teeth to bite into the roof of the mouth.

Crossbite at Advanced Orthodontics in Everett, WA where upper teeth sit inside lower teeth

Crossbite

The upper teeth sit inside the lower teeth, which may cause misaligned jaw growth.

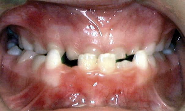
Open bite at Advanced Orthodontics in Everett, WA where front teeth do not touch

Openbite

Proper chewing is impacted by this type of bite, in which the upper and lower front teeth do not overlap. Openbite may cause a number of unwanted habits, such as tongue thrusting.

Crowded teeth at Advanced Orthodontics in Everett, WA showing lack of space for proper alignment

Crowding

Crowding occurs when teeth have insufficient room to erupt from the gum. Crowding can often be corrected by expansion, and many times, tooth removal can be avoided.

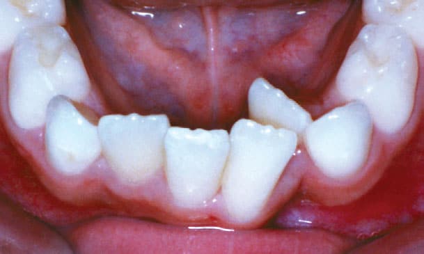
Spacing between teeth at Advanced Orthodontics in Everett, WA showing gaps in smile alignment

Spacing

Spacing problems may be caused by missing teeth, or they may only be a cosmetic or aesthetic issue.

 

Underbite at Advanced Orthodontics in Everett, WA where lower teeth extend past upper teeth

Underbite

In an underbite, the lower jaw extends out, causing the lower front teeth to sit in the front of the upper front teeth.